職位推薦
- 珍格醫療-臨床銷售 15001-20000
- 地奧制藥-醫藥代表 6001-8000
- 普利德醫療-醫療設備銷售經理 面議
- 大唐-兼職招商經理 面議
- 景德中藥-直營經理 6001-8000
- 安邦醫藥-省區招商經理 8001-10000
- 恒瑞醫藥-醫藥信息溝通專員 6001-8000
- 黃河中藥-學術講師 8001-10000
發布日期:2025-08-11 瀏覽次數:189
近日,我院小兒外科等多學科團隊(MDT)協作,耗時12個小時成功為一名罹患復雜門靜脈海綿樣變的患兒實施高難度手術,再次彰顯了我院作為國家級醫學中心在疑難危重癥救治中的技術實力與團隊協作優勢。
該患兒為2歲男孩,因反復嘔血、脾功能亢進經急診收入我院。影像學檢查結果表明,患兒門靜脈主干存在梗阻現象,在肝門周圍代償性形成大量向肝內分流的側支血管,形態上類似于海綿狀血管瘤。此外,CT檢查提示脾臟呈現高度腫大狀態;胃鏡檢查顯示食管胃底靜脈存在重度曲張情況。基于患兒入院臨床表現及相關檢查結果,患兒被診斷為門靜脈海綿樣變、門靜脈高壓。
門靜脈海綿樣變(Cavernous Transformation of Portal Vein, CTPV)是一種罕見的血管畸形,常引發門靜脈高壓、消化道出血等具有致命性的并發癥。患兒入院前已經有兩次消化道出血病史,如果不及時干預,隨時可能再次消化道大出血,危及生命。綜合考慮后,小兒外科靳曙光教授團隊擬為患兒行Meso-Rex手術。
Meso-Rex手術示意圖
Meso-Rex手術又名“腸系膜上靜脈-門靜脈左支血管搭橋吻合術”,是治療兒童門靜脈海綿樣變的最佳方式。該術式利用搭橋血管跨過梗阻的門靜脈主干,在腸系膜上靜脈與門靜脈Rex窩之間行血管重建,不僅根治了門靜脈梗阻引起的門靜脈高壓狀態,而且恢復了門靜脈入肝血流。但是該手術操作復雜,手術時間長,需要合作的學科多。同時該患兒年齡較小,體重輕,其血管比大齡孩子及成人明顯纖細,能獲取的搭橋血管長度有限,手術難度極大。小兒外科聯合肝移植中心、消化內科、血管外科、麻醉科、放射科、超聲醫學科、重癥醫學科組建多學科診療(MDT)團隊,充分討論手術方案和應急預案。
經頸靜脈造影
術前,放射科與超聲醫學科借助超聲探查及CT血管三維重建技術,明確病變所在部位;隨后,消化內科開展經肝靜脈造影,對病變血管進行精準定位,為手術繪制“血管地圖”;麻醉科與重癥醫學科團隊為手術全程提供保障。
6月24日,手術按計劃進行。患兒同時合并食管胃底靜脈曲張,氣管插管過程中隨時可能誘發消化道大出血,引發誤吸、窒息甚至失血性休克等,麻醉科團隊術前充分評估,制定各種預防措施,插管過程謹小慎微,為手術保駕護航。
消化內科介入團隊通過靜脈穿刺后實行肝臟靜脈造影,明確血管病變范圍,評估被搭橋段血管是否滿足吻合條件。小兒外科團隊術中探查,再次明確腹腔內病變程度,在血管條件滿足搭橋吻合的前提下,由血管外科團隊協助獲取患兒右側頸內靜脈作為搭橋血管。頸內靜脈是頸部引流顱內組織血流的重要靜脈,具有更粗更直且血管內無瓣膜等特點。雙側頸內靜脈可相互代償,在正常人體獲取一側頸內靜脈可由對側血管代償引流。因此,頸內靜脈是Meso-Rex手術較為理想的搭橋血管。但頸部存在著人體重要且復雜的血管、神經、肌肉、氣管、腺體以及淋巴系統等,頸內靜脈又在較深的頸部肌肉深面,要想在完全不損傷頸部組織前提下獲取深部頸內靜脈,對術中精細操作要求極高。
接下來,手術轉回腹腔,也是最重要的血管搭橋吻合過程。靜脈血管壁薄,其內血流較動脈緩慢,而且該類疾病患兒吻合段門靜脈常常發育不全,大部分患兒的門靜脈左支矢狀部直徑僅為3-5mm,靜脈吻合重建也面臨挑戰。吻合口狹窄或血栓形成是該手術最嚴重的并發癥,不僅導致癥狀復發,甚至加重門靜脈系統阻塞。因此使用顯微外科技術,保證術中血管吻合精度及準度是手術成功的關鍵步驟。吻合過程中,小兒外科團隊借助顯微放大鏡提高血管吻合質量,力求吻合的每一針嚴絲合縫,確保每一個吻合口光滑整齊,避免出現狹窄或繼發血栓。
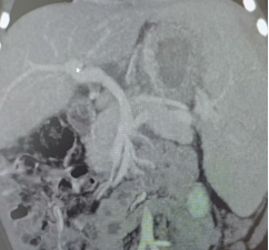
最終,多學科團隊密切合作,歷時12個小時,完成了“門靜脈左支矢狀部-供體門靜脈-頸內靜脈-腸系膜上靜脈”的精密“串聯”搭橋。術中及術后的超聲與腹部CTA檢查結果表明:重建血管保持通暢狀態,血流動力學指標表現良好,門靜脈血流阻力出現明顯降低,這意味著該患兒的門靜脈高壓已得到根本性的緩解,從而避免了消化道再次出血的風險。術后第8天,患兒康復出院。目前,患兒恢復情況良好,術后一月復查未出現嘔血、便血等癥狀,肝功能指標正常,脾臟明顯縮小,血細胞計數恢復正常。
術后門靜脈圖像
“這臺手術是華西多學科深度協作的又一次完美體現”,小兒外科靳曙光主任醫師指出,“從術前準備、術中介入造影,到血管移植資源靈活調配,再到血管的顯微吻合技術,每一個環節都體現了華西技術的精湛和華西團隊的配合。”
Meso-Rex術作為重建肝臟門靜脈血流的根治性手術,其操作過程復雜,對吻合精度的要求極為嚴格,且手術耗時較長。目前,我院已構建“兒童門靜脈高壓癥多學科聯合診療中心”,累計開展兒童門靜脈高壓高難度手術已逾百例,兒童門脈高壓治療達到國際先進水平。
300多萬優質簡歷
17年行業積淀
2萬多家合作名企業
微信掃一掃 使用小程序
